来源:跃赛生物 319
2025年10月8日,跃赛生物Unixell Biotech宣布在2025年国际帕金森和运动障碍协会年会(MDS)上,以口头报告形式公布其诱导多能干细胞(iPSC)衍生的自体细胞疗法UX-DA001治疗帕金森病1期临床试验,首例患者6个月随访数据。
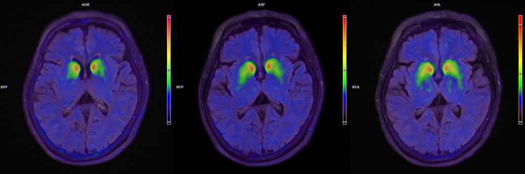
该患者整体耐受良好,无严重不良事件及与移植细胞相关的不良事件。《MDS统一帕金森病评定量表(MDS-UPDRS)》评分第Ⅲ部分在“关”期改善21分,在“开”期改善9分,改善幅度均超过45%。每日“关”期平均减少3.6小时,不伴有恼人运动障碍每日“开”期增加3.3小时。《帕金森病非运动症状评价量表(NMSS)》量表及《帕金森病患者生活质量量表(PDQ-39)》均出现改善,18F-FP-CIT PET影像学显示,双侧壳核移植区多巴胺转运体信号持续增强。
患者脑部术前、3个月、6个月的18F-FP-CIT PET图像
该患者为中晚期帕金森病女性患者,术前每日服用四种抗帕金森病药,仍然存在明显症状波动,伴有睡眠障碍、自主神经功能障碍等非运动症状,生活质量受到严重影响。
UX-DA001为人中脑多巴胺能神经前体细胞,源于患者自体的外周血细胞。自体外周血细胞,首先被重编程为诱导多能干细胞,然后在体外分化为多巴胺能神经元,通过微创手术移植到患者大脑。
免责声明:相关信息仅限药物研发参考使用,本网站不保证信息真实和准确!
|
推荐阅读: ・2025年1-3季度口崩片市场哪个强? ・2025年1-3季度口溶膜制剂哪家强? ・免疫检查点抑制剂,谁将成为下一个王者? ・质子泵相关抑酸类药物市场即将回暖 ・中药1类新药距离封神还有多远 |
|
“药品营销避坑”试读: ・药品立项需要注意什么(一) ・药品生命周期管理(一) ・改剂型,口服液体制剂“金矿”还是“陷阱 |
关注“药研苑”公众号,及时掌握最新的药物研发动态。
我们提供如下咨询服务:药品信息发布、药品立项、市场前景分析、医院及药品零售市场分析、药品市场调研及制定推广策略、国外药品引进、国内批文转让、上市前后临床试验设计、药品彩页及主图设计、药品推广PPT制作。您可以关注公众号“药研苑”后,在主页面发送消息,咨询相关服务。

2025年6月17日,Ventyx Biosciences宣布VTX3232用于早期帕金森病(NCT06556173)2a 期临床试验取得积极结果。
发布日期:2025-06-17 浏览数:926

2025年10月8日,跃赛生物Unixell Biotech宣布在2025年国际帕金森和运动障碍协会年会(MDS)上,以口头报告形式公布其诱导多能干细胞(iPSC)衍生的自体细胞疗法UX-DA001治疗帕金森病1期临床试验,…
发布日期:2025-10-08 浏览数:318

2025年9月26日,艾伯维AbbVie宣布,已向美国食品和药物管理局(FDA)提交Tavapadon治疗帕金森病的新药上市申请(NDA)。
发布日期:2025-09-26 浏览数:242

2025年12月23日,Hope Biosciences Research Foundation(HBRF)发布异体脂肪来源间充质干细胞(HB-adMSC)用于早期及中度帕金森病2期临床试验的研究结果。
发布日期:2025-12-23 浏览数:193
横切线®为注册商标
Copyright 2020 横切线®药研苑 备案号:粤ICP备18041379号-3